ਪ੍ਰਦੂਸ਼ਣ ਨਾਲ ਫੇਫੜਿਆਂ ਦੇ ਕੈਂਸਰ ਦਾ ਖ਼ਤਰਾ, ਇੰਝ ਕਰੋ ਬਚਾਅ

ਇਹ ਤੱਥ ਖੋਜ ਦੇ ਆਧਾਰ ’ਤੇ ਹਨ। ABP ਸਾਂਝਾ ਇਸ ਦੀ ਪੁਸ਼ਟੀ ਨਹੀਂ ਕਰਦਾ। ਕਿਸੇ ਵੀ ਸੁਝਾਅ ’ਤੇ ਅਮਲ ਕਰਨ ਤੋਂ ਪਹਿਲਾਂ ਮਾਹਿਰਾਂ ਦੀ ਸਲਾਹ ਜ਼ਰੂਰ ਲਓ।
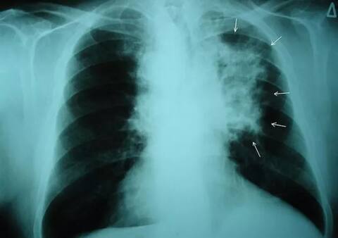
ਆਮਤੌਰ ’ਤੇ ਇਹ ਮੰਨਿਆ ਜਾਂਦਾ ਹੈ ਕਿ ਫੇਫੜਿਆਂ ਦੇ ਕੈਂਸਰ ਦੀ ਮੁੱਖ ਵਜ੍ਹਾ ਸਿਗਰਟਨੋਸ਼ੀ ਹੈ ਪਰ ਠੋਸ ਸਬੂਤ ਮਿਲੇ ਹਨ ਕਿ ਫੇਫੜਿਆਂ ਦੇ ਕੈਂਸਰ ਦੇ ਵਧਦੇ ਮਾਮਲਿਆਂ ਵਿੱਚ ਪ੍ਰਦੂਸ਼ਿਤ ਹਵਾ ਦੀ ਭੂਮਿਕਾ ਵੀ ਵਧ ਰਹੀ ਹੈ। ਇਸ ਖ਼ਤਰਨਾਕ ਬਿਮਾਰੀ ਤੋਂ ਬਚਾਅ ਲਈ ਤੁਸੀਂ ਜ਼ਿਆਦਾ ਪ੍ਰਦੂਸ਼ਣ ਵਾਲੀ ਥਾਂ 'ਤੇ ਮਾਸਕ ਪਹਿਨ ਕੇ ਜਾਓ।
ਅਰਵਿੰਦ ਕੁਮਾਰ ਨੇ ਦੱਸਿਆ ਕਿ ਫੇਫੜਿਆਂ ਦਾ ਕੈਂਸਰ ਖਤਰਨਾਕ ਬਿਮਾਰੀ ਹੈ ਤੇ ਇਸ ਦੇ ਇਲਾਜ ਤੋਂ ਬਾਅਦ ਵੀ ਪੰਜ ਸਾਲਾਂ ਤਕ ਜਿਊਂਦੇ ਰਹਿਣ ਦੀ ਉਮੀਦ ਹੁੰਦੀ ਹੈ। ਸਿਗਰਟਨੋਸ਼ੀ ਨਾ ਕਰਨ ਵਾਲੇ ਨੌਜਵਾਨਾਂ ਤੇ ਮਹਿਲਾਵਾਂ ਵਿੱਚ ਵਧਦੇ ਮਾਮਲੇ ਉਹ ਹੈਰਾਨ ਰਹਿ ਗਏ।
ਐਸਜੀਆਰਐਚ ਵਿੱਚ ਫੇਫੜਿਆਂ ਦੇ ਸਰਜਨ ਅਰਵਿੰਦ ਕੁਮਾਰ ਨੇ ਕਿਹਾ ਕਿ ਉਨ੍ਹਾਂ ਦੇ ਮਰੀਜ਼ਾਂ ਵਿੱਚ ਤਕਰੀਬਨ 50 ਫ਼ੀਸਦੀ ਸਿਗਰਟਨੋਸ਼ੀ ਨਹੀਂ ਕਰਦੇ ਸੀ।
ਸਰ ਗੰਗਾ ਰਾਮ ਹਸਪਤਾਲ (ਐਸਜੀਆਰਐਚ) ਵਿੱਚ ਡਾਕਟਰਾਂ ਨੇ ਅਧਿਐਨ ਦੇ ਨਤੀਜਿਆਂ ਨੂੰ ਚਿੰਤਾ ਦਾ ਵਿਸ਼ਾ ਦੱਸਿਆ ਹੈ। ਇਸ ਦੇ ਤਹਿਤ ਮਾਰਚ 2012 ਤੋਂ ਜੂਨ 2018 ਤਕ 150 ਤੋਂ ਜ਼ਿਆਦਾ ਮਰੀਜ਼ਾਂ ਦੀ ਵਿਸ਼ਲੇਸ਼ਣ ਕੀਤਾ ਗਿਆ।
ਵਧਦੇ ਪ੍ਰਦੂਸ਼ਣ ਕਾਰਨ ਲੋਕਾਂ ਵਿੱਚ ਫੇਫੜਿਆਂ ਦੇ ਕੈਂਸਰ ਦਾ ਸ਼ਿਕਾਰ ਹੋ ਰਹੇ ਹਨ। ਪਿਛਲੇ ਛੇ ਸਾਲਾਂ ਵਿੱਚ ਕੀਤੇ ਗਏ ਇੱਕ ਅਧਿਐਨ ਵਿੱਚ ਦਾਅਵਾ ਕੀਤਾ ਗਿਆ ਹੈ ਕਿ ਪ੍ਰਦੂਸ਼ਣ ਨਾਲ ਫੇਫੜਿਆਂ ਦਾ ਕੈਂਸਰ ਹੋ ਸਕਦਾ ਹੈ।