Teeth: ਤੁਹਾਡੀ ਇੱਕ ਸਮਾਈਲ ਸਾਹਮਣੇ ਵਾਲੇ ਨੂੰ ਇੰਪਰੈਸ ਕਰਨ ਦਾ ਕੰਮ ਕਰ ਸਕਦੀ ਹੈ, ਪਰ ਉੱਥੇ ਹੀ ਉਸ ਦੇ ਉਲਟ ਤੁਹਾਡੀ ਸਮਾਈਲ ਤੁਹਾਡੀ ਪਰਸਨੈਲਿਟੀ ਨੂੰ ਖਰਾਬ ਕਰਨ ਦਾ ਕੰਮ ਕਰ ਸਕਦੀ ਹੈ। ਦਰਅਸਲ, ਸਾਫ-ਸੁਥਰੇ ਦੰਦ ਤੁਹਾਡੀ ਪਰਸਨੈਲਿਟੀ ਨੂੰ ਨਿਖਾਰਣ ਦਾ ਕੰਮ ਕਰਦੇ ਹਨ ਤਾਂ ਉੱਥੇ ਹੀ ਪੀਲੇ ਅਤੇ ਕੀੜੇ ਲੱਗੇ ਦੰਦ ਤੁਹਾਨੂੰ ਕਈ ਵਾਰ ਸ਼ਰਮਿੰਦਾ ਕਰ ਸਕਦੇ ਹਨ।

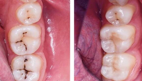
ਦੰਦਾਂ ਵਿੱਚ ਛੋਟੇ ਕਾਲੇ ਖੱਡੇ ਜਿਹੇ ਹੋ ਜਾਂਦੇ ਹਨ ਜਿਨ੍ਹਾਂ ਨੂੰ ਦੰਦਾਂ ਦੇ ਕੀੜੇ ਕਿਹਾ ਜਾਂਦਾ ਹੈ। ਸੜਨ ਕਰਕੇ ਇਹ ਦੰਦ ਖੋਖਲੇ ਹੋਣ ਲੱਗ ਜਾਂਦੇ ਹਨ। ਅਸਲ ਵਿੱਚ, ਕੈਵਿਟੀਜ਼ ਦੇ ਕਈ ਕਾਰਨ ਹੋ ਸਕਦੇ ਹਨ। ਸਾਫ਼ ਦੰਦਾਂ ਦੀ ਕਮੀ, ਮੂੰਹ ਵਿੱਚ ਬੈਕਟੀਰੀਆ ਦੀ ਲਾਗ, ਮਿੱਠੀਆਂ ਚੀਜ਼ਾਂ ਦਾ ਜ਼ਿਆਦਾ ਸੇਵਨ ਜਾਂ ਸਿਹਤ ਸੰਬੰਧੀ ਕੋਈ ਸਮੱਸਿਆ। Tooth Cavity ਦੰਦਾਂ ਨੂੰ ਨੁਕਸਾਨ ਪਹੁੰਚਾ ਸਕਦੀ ਹੈ। ਜੇਕਰ ਤੁਸੀਂ ਵੀ ਦੰਦਾਂ ਦੇ ਕੀੜਿਆਂ ਤੋਂ ਪਰੇਸ਼ਾਨ ਹੋ ਤਾਂ ਅੱਜ ਅਸੀਂ ਤੁਹਾਡੇ ਲਈ ਕੁਝ ਘਰੇਲੂ ਨੁਸਖੇ ਲੈ ਕੇ ਆਏ ਹਾਂ ਜਿਸ ਨਾਲ ਤੁਸੀਂ ਦੰਦਾਂ ਦੇ ਕੀੜਿਆਂ ਤੋਂ ਛੁਟਕਾਰਾ ਪਾ ਸਕਦੇ ਹੋ।

ਦੰਦਾਂ ਦੀ ਕੈਵਿਟੀ ਨੂੰ ਦੂਰ ਰੱਖਣਗੇ ਆਹ ਘਰੇਲੂ ਉਪਾਅ-:

ਭਾਰਤੀ ਰਸੋਈ 'ਚ ਮੌਜੂਦ ਲਸਣ ਨਾ ਸਿਰਫ ਖਾਣੇ ਦਾ ਸਵਾਦ ਵਧਾਉਂਦਾ ਹੈ ਸਗੋਂ ਸਿਹਤ ਲਈ ਵੀ ਕਈ ਤਰ੍ਹਾਂ ਨਾਲ ਫਾਇਦੇਮੰਦ ਹੁੰਦਾ ਹੈ। ਲਸਣ ਦੀ ਵਰਤੋਂ ਕਈ ਤਰ੍ਹਾਂ ਦੇ ਪਕਵਾਨਾਂ ਵਿੱਚ ਸੁਆਦ ਵਧਾਉਣ ਲਈ ਕੀਤੀ ਜਾਂਦੀ ਹੈ। ਲਸਣ ਵਿੱਚ ਮੌਜੂਦ ਐਂਟੀ-ਫੰਗਲ ਅਤੇ ਐਂਟੀ-ਬੈਕਟੀਰੀਅਲ ਗੁਣ ਇਸ ਨੂੰ ਇੱਕ ਸ਼ਾਨਦਾਰ ਦਰਦ ਨਿਵਾਰਕ ਬਣਾਉਂਦੇ ਹਨ, ਜੋ ਦੰਦਾਂ ਦੇ ਦਰਦ ਅਤੇ ਕੀੜਿਆਂ ਤੋਂ ਰਾਹਤ ਦਿਲਾ ਸਕਦੇ ਹਨ। ਤੁਸੀਂ ਇਸ ਦਾ ਕੱਚਾ ਸੇਵਨ ਕਰ ਸਕਦੇ ਹੋ।

ਨਿੰਬੂ ਦਾ ਸੇਵਨ ਦੰਦਾਂ ਦੇ ਕੀੜਿਆਂ ਨੂੰ ਦੂਰ ਕਰਨ ਵਿੱਚ ਮਦਦਗਾਰ ਹੈ। ਨਿੰਬੂ ਨੂੰ ਵਿਟਾਮਿਨ ਸੀ ਦਾ ਭਰਪੂਰ ਸਰੋਤ ਮੰਨਿਆ ਜਾਂਦਾ ਹੈ। ਇਸ ਵਿਚ ਮੌਜੂਦ ਐਸਿਡ ਕੀਟਾਣੂਆਂ ਨੂੰ ਮਾਰ ਕੇ ਦਰਦ ਨੂੰ ਘੱਟ ਕਰਨ ਵਿਚ ਤੁਹਾਡੀ ਮਦਦ ਕਰਦੇ ਹਨ। ਮੂੰਹ ਵਿੱਚ ਨਿੰਬੂ ਦਾ ਇੱਕ ਟੁਕੜਾ ਰੱਖੋ ਅਤੇ ਉਸ ਨੂੰ ਮੂੰਹ ਵਿੱਚ ਰੱਖ ਕੇ ਚਬਾਓ ਅਤੇ ਫਿਰ ਸਾਫ਼ ਪਾਣੀ ਨਾਲ ਕੁਰਲੀ ਕਰੋ। ਇਸ ਨਾਲ ਦਰਦ ਦੇ ਨਾਲ-ਨਾਲ ਕੀੜਿਆਂ ਤੋਂ ਵੀ ਰਾਹਤ ਮਿਲ ਸਕਦੀ ਹੈ।

ਲੂਣ ਕਿਸੇ ਵੀ ਭੋਜਨ ਦਾ ਸੁਆਦ ਬਣਾਉਣ ਅਤੇ ਵਿਗਾੜਨ ਦਾ ਕੰਮ ਕਰਦਾ ਹੈ। ਦੰਦਾਂ ਵਿੱਚ ਕੀੜੇ ਅਤੇ ਦਰਦ ਦੇ ਇਲਾਜ ਵਿਚ ਨਮਕ ਵਾਲਾ ਪਾਣੀ ਬਹੁਤ ਲਾਭਦਾਇਕ ਹੋ ਸਕਦਾ ਹੈ। ਇਹ ਤੁਹਾਡੇ ਮੂੰਹ ਨੂੰ ਬੈਕਟੀਰੀਆ ਤੋਂ ਮੁਕਤ ਰੱਖਦਾ ਹੈ ਅਤੇ ਕੈਵਿਟੀ ਵਿਚੋਂ ਚਿਪਚਿਪੇ ਪਣ ਨੂੰ ਦੂਰ ਕਰਦਾ ਹੈ। ਨਮਕ ਵਾਲਾ ਪਾਣੀ ਸਾਡੇ ਮੂੰਹ ਵਿੱਚੋਂ ਐਸਿਡ ਨੂੰ ਹਟਾ ਕੇ ਮੂੰਹ ਦੇ pH ਪੱਧਰ ਨੂੰ ਆਮ ਕਰ ਸਕਦਾ ਹੈ।